お知らせ
NEWS
-
【年末年始の営業について】
年末年始の営業は26日までとなります。
27日は緊急対応のみ。
5日から営業スタートいたします。
診療理念
PHILOSOPHY
私たちは患者様との
コミュニケーションを
大切にしています
スマイル鴫野歯科クリニックでは地域に密着した幅広い世代の患者様が笑顔になれるよう日々精進し診療にあたっています。
スタッフ全員が常に患者様とのコミュニケーションを大切にし治療説明には十分な時間を設けしっかり納得同意されたうえで診療をすすめていきます。
治療のゴールは1つではありません。
様々な角度から患者様のご要望やライフスタイルなど総合的に判断しその方に合ったプランをご提案します。
院内設備
CLINIC
診療内容
OUR SERVICE
-
訪問歯科
詳細を見る
近年、日本は超高齢化社会を迎えようとしており、施設訪問による訪問歯科治療のニーズも増加しております。
それに伴って摂食嚥下の分野に関しても対応していく必要があります。
私達、スマイル鴫野歯科クリニックでは歯科医師を中心に歯科衛生士、歯科助手と協力し合い施設側との連携をはかりながら訪問歯科治療や口腔ケアに従事させて頂いております。
自費治療価格表
MEDICAL EXPENSES
当院ではこちらから自費治療を強く勧めることは一切ありません。
患者様としっかりお話しをさせて頂いたうえで選択肢としてご提案できるものであると考えております。
表示価格は税別価格です。
冠(かぶせ)
詰め物
デンチャー(義歯)
インプラント
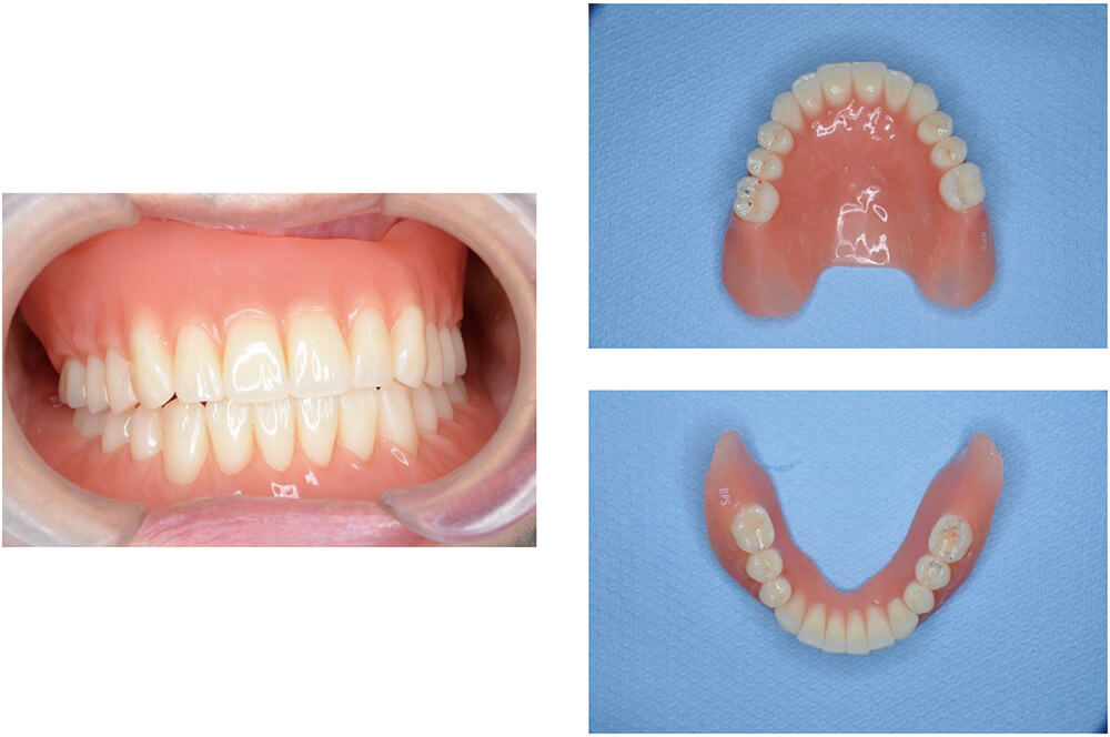
BPSデンチャー

BPSデンチャーは限定歯科医師のみが製作できる専門治療です。当院にはBPS限定歯科医師が1名在籍しております。

この患者様は下の顎に全く歯が無い状態で、入れ歯を支える骨に関しても極度に瘦せ細っており通常の義歯での吸着や安定は厳しい状態でしたので食事をするのに大変困っておられました。

完成したBPSデンチャーの写真です。下の義歯は入れ歯の安定に必要な部位をしっかり覆っており、浮き上がることなくご飯を食べることができると患者様も大変喜ばれております。

アクセスマップ
ACCESS
〒536-0014 大阪府大阪市城東区鴫野西4丁目1-33
welfare 大阪京橋ビル2階1号
| 診療時間 | 月 | 火 | 水 | 木 | 金 | 土 | 日・祝 |
|---|---|---|---|---|---|---|---|
| 午前 9:30~12:30 (最終受付12:00) |
〇 | 〇 | - | - | 〇 | 〇 | 休 |
| 夜診 月曜・水曜 18:00~21:00 (最終受付 20:30) 金曜 18:00~20:00 (最終受付 19:30) |
〇 | - | 〇 | - | 〇 | - | 休 |
木曜は一日訪問診療のため外来は終日休診
診療内容: むし歯治療/根管治療/歯周病治療/入れ歯/歯科口腔外科/親知らず/顎関節症/歯ぎしり・食いしばり/口腔粘膜病変/小児歯科/予防・クリーニング/口臭治療について/口腔内科について/審美治療/ホワイトニング/マタニティ歯科診療/定期検診/ナイトガード/スポーツマウスガード
各種保険取り扱い
保険診療を主軸に行っています。
自由診療は選択肢の一環としてご説明し、ご希望の方に行います。
予約優先診療
待ち時間軽減のため、原則予約制で診療しています。お電話かWEB予約にてご予約ください。
急患随時受付
混雑している場合はお待たせすることもございますので、ご来院いただく前に一度お電話にてお問い合わせください。

